<野球肘・野球肩について>
色々な意見が分かれる野球肘・野球肩の治療。まず、この項目の全てを読んでから判断して下さい。
【お願い】
簡単に聞こえるかもしれないこの疾患。本当は治療に時間がかかるとても厄介な疾患です。昔の様に投げ込んで治すという考えは捨てて下さい。将来のドラフト候補である小・中学校の子供達は、頑張りすぎて故障してしまう事があります。レギュラーを外されるかもという思いが故、親御さん達やコーチにも話さないかもしれません。親御さんや指導者の方は、1週間に1回で構いません、どうか子供達に肩や肘は痛くない?と聞いてあげて下さい。
当院での治療を希望される患者様(主にご両親)にお願いがあります。不幸にもお子様が野球肘や野球肩になってしまった時、当院で治療する際にお子様に対し「ちょっと位投げてみたら?」といった発言を厳禁とさせて下さい。レギュラー落ちや、投げられない我が子を見るのが辛いのはよくわかります。しかし、この一言が治癒遅延や悪化を招いたりします。当院の治療を信じて慌てず治療に専念して下さい。
【治療の流れ】
当院での治療は、まず検査から始まります。超音波診断(エコー)を行い、軟骨損傷、骨損傷、靭帯損傷の有無を調べます。必要があれば、レントゲンやMRIでの検査をしていきます。画像検査が終わったら、投球フォームの確認をしていきます。小・中学生の野球肘・野球肩の原因は、殆どがフォームの未熟と投げ過ぎに集約されます。よってフォームを調べる事は大事な検査となるのです。ピッチャーはもちろんキャッチャー、内野手、外野手では投げ方が異なります。ポジションに合わせて細かくチェックしていきます。
治療内容として、野球肘・野球肩の急性期は、アイシングを中心に加療します。加療期に入ると難治性骨折用超音波骨癒合機を使用して損傷した軟骨や骨・靭帯を癒合させていきます。軽症であれば超音波気泡浴にて血流促進させて損傷部位を癒していきます。痛みの確認をして、圧痛が消失したら、シャドーピッチ、キャッチボール、遠投、ピッチングとしていきます。全て球数制限をかけ、1週間単位でステップアップとなります。(ちなみにここで言う遠投は遠くに投げるという意味ではありません)
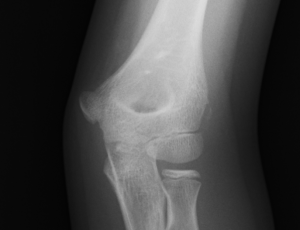
【野球肘レントゲン】
右肘外側野球肘(離断性骨軟骨炎) *画像左側が患側、右側が健側
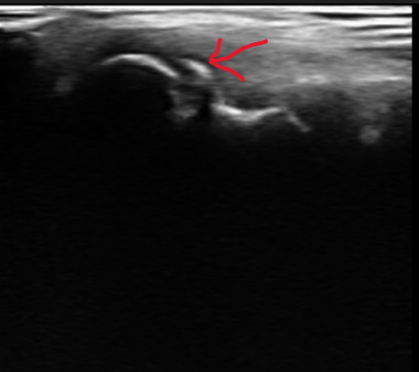
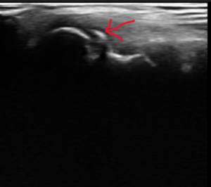
【野球肘 超音波~エコー~画像】
レントゲン写真において、赤丸の中の骨が透けて見えるのが確認できると思います。反対側の青丸内は正常の骨です。野球肘は外側の痛みや画像異常が出現すると重篤となります。内側の痛みから始まり外側まで痛みが出てきた場合は手遅れとなる事が多いので注意して下さい。野球肘や野球肩は、場合によっては1年間以上投げられないという事もあります。ひどい場合は手術となってしまう事もありますので早期診断が必要不可欠です。
エコー画像では、上腕骨小頭という丸みのある骨(エコー画像 赤丸部)が正常な場合は、滑らかな半円を描きますが、野球肘側の画像はギザギザしているのが確認できます。
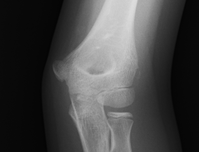
【右野球肘(〜内側上顆剥離骨折~)】
少年野球において最も多い疾患で、「内側の骨が剥がれた」というものです。
下の画像において右肘・左肘の順です。赤矢印がある右肘の内側の骨が剥がれているのが確認できます。
【エコー画像】
野球肘の診察においてエコー検査は欠かせません。野球肘検診などもエコーが大活躍しています。
最近ではプロ野球選手でも日々の細かな肘や肩のコンディショニングチェックは、エコーが主として使用されています。
【病院選び】
先ずは、整形外科で確認してもらう事が大事です。しかし、整形外科では湿布のみの処方でどうしたらいいのか?といった声が多いです。病院によって異なりますが、検査する事は非常に大事です。当然、その後に治療をしていけば回復が早くなります。しかし、そこで病院や接骨院の先生が野球に精通しているか?ここが重要なポイントとなります。野球のルール、ポジション特性、投げ方、体の捌き方、トレーニング方法などある程度熟知していないと治療法にも大きな差が生まれます。つまり、整形外科や接骨院の名医と呼ばれる先生が野球に詳しいかは別問題なのです。体育の先生が、全てのスポーツのルール熟知やプレーをこなせるか?それは否です。やはり、得意分野が存在します。
野球肘や野球肩は、野球を知っていて、治療方法を熟知している先生に出会えるか?が早期回復のカギを握っていると言っても過言ではありません。
【指導者の方へ】
いつも子供達へ愛情・情熱・集団行動の大切さ・礼儀作法・技術・数え上げたらキリがないくらいの御指導を賜り、心より敬意を申し上げます。土曜日・日曜日に仕事でお疲れなのに、グラウンドに立って子供たちの為に頑張って下さいます。本当に野球を愛していないと務まる事ではありません。本当にありがとうございます。
御父兄、コーチ、関係者の方から寄せられる質問の多くは、医療側と指導側の意見が違う!という事。医療側は痛めてきた患者を治す為にアドバイスや治療や指示をします。指導側からすれば野球ができない事項が多い為、真逆の意見となってしまいます。言ってしまえば医療側と指導側は、必ず真逆になる関係なのです。プロレベルまでになると、選手は痛めた場合は病院・接骨院にて加療して、チームは治るまで待ちます。連携があるからこそ一体となって選手をサポートできます。しかし少年野球では、指導側と医療側の連絡がうまく取れる事は殆どなく、連携不足を痛感します。野球肘や野球肩を治せる先生方は大抵、チームの練習内容に深くは触れないで、個人のフォームの問題点や球数を中心に診ていきます。指導側の方針に深入りはしないと思います(批判をするなど)。よって、指導者の方々は御意見・御質問等ございましたら遠慮なく御父兄を通して医療側に聞いてもらうといいと思います。そして、指導側は怪我をした子供が出た時、全学年を通して意見を統一させて頂けるとありがたいです。投げさせる?投げさせない?試合に出す?出さない?しっかり指導者側で話し合い、厳格にルールを決めておけば、わかりやすいと思います。
あと、どこの病院・接骨院・整体に行け!というのは、かえって混乱を招きます。決してチーム側からここへ行け!というのは避けた方が望ましいと思います。御父兄から尋ねられたら、そこでアドバイスする位でいいと思います。
『スポーツ整形』と呼ばれる病院がいい例ですが、前項でも述べたとおり野球に詳しいかというのが重要です。スポーツといっても色々なスポーツがありますよね?それが答えです。
これまたよくある質問で指導側は、『病院では、どれくらいに治る・何か月で治る。と言ってたんだ?』という質問ですが、野球肩や野球肘は複雑なのです。簡単に「○か月で治ります。」と言う先生は中々いないと思います。手術をしたり、骨折をしてくれた方がよっぽど簡単に目処が立ちます。野球肘・野球肩を知っている先生であればあるほど、発言が慎重になります。なぜなら、焦って早めに復帰して再発した時や、間に合わなかった時の子供の落胆を考えているからです。うかつな発言こそが子供を深く傷つけます。よって医療側は、指導側の求める何月に復帰!というのは断定しないのです。治るペースは、人それぞれ。特に当院では、年齢・ポジション毎にリハビリ内容が変化しますので尚更です。
とにかく無理をさせないが1番です。小学生の時にスーパースターでも、中学・高校で肘や肩を壊せば、野球をやっていただけの人です。本当にプロ野球選手になりたい子供は、怪我せずプロ野球選手になりたいのです。小・中学生時代に無理をして怪我をしてまでの栄光は要りません。
だって、子供たちはみんな平等にドラフト1位の資格を持っているのですから・・・。無理してドラフト1位の芽を摘む必要はありません。
【前田健太投手使用機器が当院でも】
MLBミネソタツインズの前田健太投手が使用している機器がYoutubeで公開されました。
当院でも使用している機器で、伊藤超短波社のES5000という最新機器です。
登板前日は1時間程微弱電流をかけています。電気をかけながら、相手チームデータに目を通すのがルーティンとの事。

当院でも野球選手のケアには使用しております。この動画には、同じく伊藤超短波社製の超音波治療器も登場します。もちろん当院でも伊藤超短波社製の超音波を使用しております。
そもそも、僕自身が伊藤超短波社の物理学療法器の専任講師なので、当然使用しております。
ちなみに、伊藤超短波社のエコー専任講師でもあることを付け加えさせていただきます。
少しでも野球選手皆様のお力になれれば幸いです。




